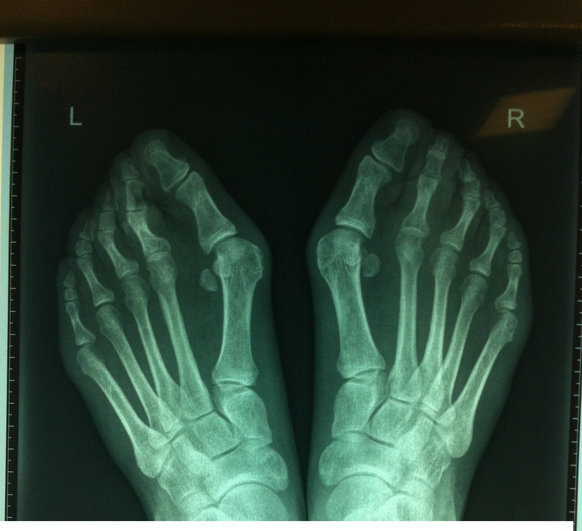
Вальгусная деформация первого пальца стоп (автор: врач травматолог-ортопед Кривокрисенко Владимир Юрьевич)

В современном мире вальгусная деформация первого пальца стоп очень актуальная проблема в виду того, что часто общество или работа ограничивает в выборе обуви. Вальгусная деформация первого пальца формируется на фоне поперечного плоскостопия, которое, в свою очередь, в той или иной мере есть у всех людей. Однако, когда на фоне поперечного плоскостопия на стопу влияют такие факторы как: модельная обувь; длительная ходьба или просто положение стоя; повышенная эластичность связочного аппарата или состояния организма, повышающие его эластичность.
Непосвященные в эту проблему люди могут обозвать эту проблему «подагрой», но ничего общего эти проблемы не имеют, кроме локализации. Подагрический артрит манифестирует поражением первого плюсне-фалангового сустава. Сустав у основания первого пальца стопы отекает, краснеет и сильно болит и это происходит из-за повышенного уровня мочевой кислоты в крови, но это совершенно другая история...
Возвращаясь к вопросу о вальгусной деформации, нужно отметить, что кроме эстетического момента и трудности в подборе обуви на первый план выходит неправильное положение стопы при ходьбе, что в свою очередь, нарушает, главным образом, амортизационную функцию стопы, что изнашивает суставы стоп, коленные суставы, перегружает поясницу и мышцы голеней, а это — дополнительные факторы в формировании остеохондроза и варикозной болезни вен нижних конечностей.
На ранних проявлениях этой проблемы нужно в обязательном порядке заняться профилактикой: правильный подбор обуви, ношение ортопедических стелек и правильная нагрузка. Обувь должна быть с каблуком 3-4 см и жестким задником.
Комбинированная каркасная стелька правильно поставит стопу при нагрузке. Такие приспособления, как отводящие шины не работают, т. к. деформация пальца и износ суставов происходит при ходьбе, а не лежа в кровати или сидя на диване. Нужно отметить вниманием огромное количество силиконовых напалечников, межпальцевых распорок и бурсопротекторов, которые применяются сугубо симптоматически, но не с целью профилактики поперечного плоскостопия.
Что касаемо нагрузки, вопрос требует проработки. Ходьба, бег, прыжки сопровождаются ударом стопы о жесткую поверхность, что является проверкой на прочность и без того сниженную амортизацию стопы. А вот что касается велосипеда, элипсоида, плавания, блочных упражнений в зале, йоги — эти нагрузки только приветствуются.
При более поздних проявлениях поперечного плоскостопия, когда к выраженной деформации первого пальца присоединяется молоткообразная деформация малых пальцев или сочетание с подвывихом пальцев, к сожалению, без оперативного лечения не обойтись. Современные методы хирургического лечения отличаются малотравматичностью, эффективностью, крайне низким риском рецидивов и довольно короткими сроками нетрудоспособности. Современное силовое оборудование позволяет поменять конфигурацию костей, снижая вероятность рецидива до минимума. Применяемые при операции импланты из титана не нужно удалять, нет ограничений по выполнению МРТ-исследований, так же они не обнаруживаются металлодетекторами, что позволяет избежать лишнего внимания при перелетах и определенных мероприятиях.
Важным является факт возможности выполнения операции на обеих стопах одновременно. После операции пациент передвигается в специальной обуви, а не в гипсе и с костылями. Обычно такая обувь требуется на 4-5 недель.
Будьте здоровы!